【午後】 第71回臨床検査技師国家試験 解説・裏回答・周辺知識まとめ
この記事では2025年2月19日に実施された第71回臨床検査技師国家試験【午後】の病理、細胞診、解剖を主に解説していきます。
各設問の裏回答だけでなく、必要な周辺知識も全て記載しています。
関連する詳細な解説記事も載せているため71回国試の病理の問題全ての知識がここで手に入ります。
各問題は動画解説も作成しています。
動画および解説は完成次第、順次アップしていきます。
【問題と別冊の出典】
厚生労働省HP:第71回臨床検査技師国家試験問題および正答について
71回 午後の問題
71回 午後 問題45
薄切で切片に傷ができる場合の対処法はどれか。
- 逃げ角を変える。
- 刃を取り替える。
- 薄切する厚さの設定を変える。
- パラフィンブロックを冷却する。
- ミクロトーム刀の滑走速度を速くする。
- 答えはここをクリック
-
2
【この問題のポイント】
この問題は、薄切時に切片へ入る傷の原因がどこにあるかを理解し、適切な対処を選べるかを問う問題。
切片の傷は、刃の欠けで起こることが多い。
各選択肢はどんな状況に対する対応策かも理解しておきたい。
【各選択肢の解説】
1. 逃げ角を変える。
逃げ角は切った時の刃の下面とブロックの角度のこと。
角度が不適切だとチャタリングやうまく切れないなどの不具合が生じる。
つまり、チャタリングなどが見られた場合に設定を見直す必要があり、切片傷の改善はできない。
2. 刃を取り替える。
切片に一定間隔または連続した線状の傷が入る原因として最も多いのは、刃先の微小な欠けや刃の損耗、付着物である。
刃を新しいものに交換すると、刃先由来の傷は直ちに改善するため、対処として最も適切になる。
3. 薄切する厚さの設定を変える。
切片厚は切片のしわ、伸展性、チャタリングの出やすさなどに影響するが、切片の傷は厚さを変えても本質的には解決しない。
切片傷対策の第1選択ではない。
4. パラフィンブロックを冷却する。
冷却するとブロックが硬くなるため、軟らかすぎて引きずる場合や、切片が伸びすぎる場合には改善することがある。
ただ、切片の傷は冷却では消えない。
さらに冷やしすぎると硬化してチャタリングや割れ・欠けが出やすくなるため、切片傷対策としての第1選択ではない。
5. ミクロトーム刀の滑走速度を速くする。
薄切時の速度は早すぎても遅すぎでも良くないが、早すぎるとチャタリングなどのリスクが増える。
切片傷を改善する方法ではない。
71回 午後 問題46
膵臓の特殊染色(別冊No.8)を別に示す。
染色法はどれか。
- PAM染色
- Bodian 染色
- Grimelius 染色
- Warthin-Starry 染色
- Masson-Fontana 染色

出典;第71回臨床検査技師国家試験の問題および正答について午後問題別冊
- 答えはここをクリック
-
3
【この問題のポイント】
この問題は膵臓の特殊染色像から染色法を同定する問題。
膵臓には内分泌腺のランゲルハンス島が散在し、内分泌細胞の分泌顆粒を示す銀染色が出題されやすい。
提示画像は島状の領域(ランゲルハンス島)に一致して、細胞内に黒褐色の顆粒が多数みられる。
これは内分泌顆粒を銀染色した像と一致する。
組織の特殊染色問題は場所と色だけでほぼ決めることができ、問題文に【膵臓】がある場合、染色はグリメリウス染色の可能性が高い。
また今回の選択肢は全て銀液用いるため、合わせて銀液も思い出したい。
| 染色名 | 銀液 | 加温の 有無 | 主な 対象物 |
|---|---|---|---|
| 渡辺の鍍銀 | アンモニア銀 | ✖️ | 細網線維 |
| PAM | メセナミン銀 | 〇 (65℃) | 糸球体基底膜 |
| コッサ反応 | 硝酸銀 | ✖️ | 石灰化物 |
| グリメリウス | 硝酸銀 | 〇 (37℃) | A細胞 内分泌顆粒 神経内分泌腫瘍 |
| マッソン・ フォンタナ | アンモニア銀 | 〇 (60℃) | メラニン 内分泌顆粒 神経内分泌腫瘍 |
| ヘルマン・ ヘレル ストローム | 硝酸銀 | 〇 (37℃) | D細胞 |
| ワルチン・ スターリー | 硝酸銀 | 〇 (37℃) | スピロヘータ ピロリ菌 |
| グロコット | メセナミン銀 | 〇 (約50℃) | 真菌 |
| ボディアン | プロテイン銀 | 〇 (37℃) | 神経原線維 |
| カハール | アンモニア銀 | 〇 (約55℃) | 神経膠細胞 |
【各選択肢の解説】
1. PAM染色
PAMは過ヨウ素酸メセナミン銀染色で、基底膜やメサンギウム基質などを黒く染める目的で用いられる。
代表的な対象は腎糸球体基底膜の描出。膵臓でこの像のようにランゲルハンス島の細胞内顆粒が選択的に黒く出る所見とは一致しない。


右:Grimelius 出典;第71回臨床検査技師国家試験の問題および正答について午後問題別冊
2. Bodian染色
Bodian染色は神経原線維をプロテイン銀で染める染色法。
膵臓であれば神経叢や神経線維が染まるとは思われるが、提示像は島状構造の内分泌腺細胞に顆粒状に染まっているため像が一致しない。


右:Grimelius 出典;第71回臨床検査技師国家試験の問題および正答について午後問題別冊
膵臓でBodian染色を出題することはないと言ってもいい。
Bodian染色はアルツハイマー病の老人斑の検出などに有用。
3. Grimelius染色
Grimelius染色は内分泌細胞を硝酸銀で黒褐色〜黒色に染める銀染色。
膵臓ではランゲルハンス島のA細胞が選択的に染まりやすく、提示像の島状部で散在性に褐色を示す所見が一致する。

ちなみに、B細胞とD細胞は以下の染色が有用であるが、国家試験に出る可能性は低い。
細胞検査士試験を受ける人は覚えたい。
- B細胞
アルデヒド・フクシン染色
【覚えるポイント】- 酸性および塩基性フクシンを含む
- B細胞や弾性線維を染める
- HBs抗原も検出可能
- D細胞
ヘルマン・ヘレルストローム染色
【覚えるポイント】- 硝酸銀を使う
- 加温する
- ラ氏島D細胞を染める
- A細胞
グリメリウス染色
【覚えるポイント】- 硝酸銀を使う
- 加温する
- 還元剤を使う
- 神経内分泌腫瘍に有効
- 好銀性・銀親和性細胞を両方染色可能
4. Warthin-Starry染色
Warthin–Starry染色は硝酸銀を使ってスピロヘータやヘリコバクターなどの検出に用いられる。
膵臓には通常用いられない。


右:Grimelius 出典;第71回臨床検査技師国家試験の問題および正答について午後問題別冊
5. Masson-Fontana染色
Masson-Fontana染色はアンモニア銀で、メラニンや神経内分泌腫瘍の顆粒を染める染色法。
典型的な用途はメラニンやカルチノイドなど。
膵臓の正常内分泌細胞はこの染色で染めない。


右:Grimelius 出典;第71回臨床検査技師国家試験の問題および正答について午後問題別冊
71回 午後 問題47
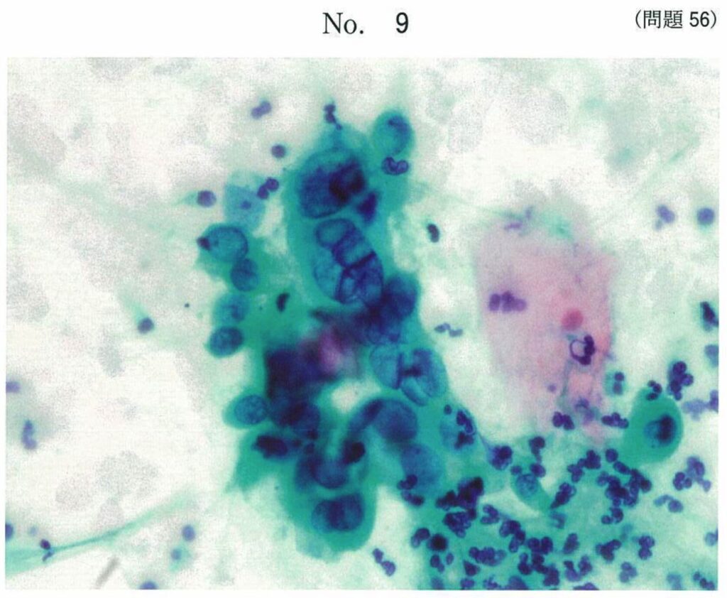
子宮頸部細胞診の Papanicolaou 染色標本(別冊No.9)を別に示す。
考えられる感染はどれか。
- カンジダ
- クラミジア
- トリコモナス
- ヘルペスウイルス
- ヒトパピローマウイルス

- 答えはここをクリック
-
4
【この問題のポイント】
この問題は子宮頸部のPap染色標本でみられる感染症の特徴的な細胞像を知っているか、その原因微生物を知っているかを問う問題。
感染症は特徴的な所見が出やすく、今回の選択肢それぞれにわかりやすい所見がある。
基本的な所見は知っておこう。
【各選択肢の解説】
1. カンジダ
カンジダは仮性菌糸(細長い糸状構造)と酵母様菌体(芽胞)が背景や細胞周囲にみられるのが特徴の真菌。
提示像のような多核化と強い核変化を主所見とする像とは一致しにくい。


2. クラミジア
クラミジア感染では、頸管腺細胞に細胞質内封入体がみられることで間接的に診断することが可能。Pap標本ではその封入体を星雲状封入体と呼ぶ。実際は細胞診よりもPCRや抗原検査を行う方が確実である。


出典
左ヘルペス:第71回臨床検査技師国家試験の問題および正答について午後問題別冊
右クラミジア:National Cancer Institute (Dr. Lance Liotta Laboratory)
3. トリコモナス
トリコモナスは背景に原虫そのもの(小型で楕円〜洋梨形、核をもつ)が見え、炎症性背景(多数の好中球など)を伴いやすい。
今回の問題のように扁平上皮細胞の核が多核化して特徴的な核内変化を示すことが主な所見ではない。


出典
左ヘルペス:第71回臨床検査技師国家試験の問題および正答について午後問題別冊
右トリコモナス:第64回臨床検査技師国家試験の問題および正答について午前問題別冊
4. ヘルペスウイルス
子宮頸部のヘルペス感染では、扁平上皮細胞に特徴的な核所見が出る。
代表所見は以下の5つ。
- 細胞の多核化
- 核の相互圧排
- 核縁肥厚
- すりガラス状核
- 核内封入体
今回の問題画像は、❶同一細胞内に複数核が存在し❷核同士が接して形が押し合っている❸核縁が肥厚❹クロマチンがすりガラス状❺核内封入体の5点から、ヘルペスウイルス感染の細胞像に合う。


出典
左:第71回臨床検査技師国家試験の問題および正答について午後問題別冊
右:第56回臨床検査技師国家試験の問題および正答について午前問題別冊
5. ヒトパピローマウイルス
ヒトパピローマウイルス(HPV)感染はコイロサイトーシスが代表所見で、核周明庭と核腫大、核形不整などが特徴。
多核化がみられることはあるが、ヘルペスで重視される核の圧排やすりガラス状核は所見ではない。
問題の画像はコイロサイトより、核所見がヘルペスに寄っている。


出典
左:第71回臨床検査技師国家試験の問題および正答について午後問題別冊
右:第61回臨床検査技師国家試験の問題および正答について午前問題別冊
71回 午後 問題48
細胞内小器官で正しいのはどれか。
- 核は蛋白合成の場である。
- 細胞膜は脂質単層の構造を持つ。
- リボソームは蛋白分解の場である。
- ゴルジ装置には電子伝達系が存在する。
- ミトコンドリアは独自の遺伝情報を有する。
- 答えはここを以下のクリック
-
5
【この問題のポイント】
この問題は主要な細胞や細胞小器官の構造と役割について理解できているかを問う問題。
国家試験では以下の構造・小器官について覚える必要がある。
| 細胞の構造 | 膜構造 | 主な役割 |
|---|---|---|
| 細胞膜 | 一重膜 | 細胞内外の物質調整 |
| 核 | 二重膜 | DNAの保持や転写 |
| 粗面小胞体 | 一重膜 | タンパク合成 |
| 滑面小胞体 | 一重膜 | 脂質合成と解毒 |
| リボソーム | なし | タンパク合成 |
| ゴルジ装置 | 一重膜 | タンパク修飾・分泌 |
| ミトコンドリア | 二重膜 | ATP産生 |
| リソソーム | 一重膜 | 異物の分解・消化 |
| ペルオキシソーム | 一重膜 | 過酸化水素分解 |
| 中心体 | なし | 細胞分裂 |
| 細胞骨格 | なし | 細胞形態保持、細胞移動 |
【各選択肢の解説】
1. 核は蛋白合成の場である。

核はDNAを保持し、遺伝子発現の中枢として転写(DNA→RNA)やRNAの成熟(スプライシングなど)が行われる場になる。
蛋白合成(翻訳:mRNA→蛋白質)の主な場はリボソームで、細胞質(遊離リボソーム)または粗面小胞体に付着したリボソームで行われる。
基本的に核内の蛋白は細胞質で合成されてから核へ移行する。
また、核内には核小体もあり、そこでリボソームの原料がつくられる。
2. 細胞膜は脂質単層の構造を持つ。

細胞膜はリン脂質二重層が基本構造になる。
疎水性部分が内側に向き合い、親水性頭部が細胞外と細胞内に向く。
膜蛋白(受容体、チャネル、輸送体など)やコレステロールが組み込まれ、流動モザイクモデルとして説明される。
単層ではなく二重層である点が重要。
3. リボソームは蛋白分解の場である。

リボソームは蛋白質合成(翻訳)の場。
蛋白分解は主に細胞質(ユビキチン-プロテアソーム系)やリソソーム(オートファジーやエンドサイトーシス経路)で行われる。
4. ゴルジ装置には電子伝達系が存在する。

ゴルジ装置は蛋白質の修飾(糖鎖付加など)、仕分け、輸送小胞形成に関与する小器官で、電子伝達系は存在しない。
電子伝達系はミトコンドリア内膜上に存在し、酸化的リン酸化に関与する。
5. ミトコンドリアは独自の遺伝情報を有する。

ミトコンドリアは独自の環状DNA(ミトコンドリアDNA)を持ち、tRNAやrRNA、呼吸鎖複合体の一部サブユニットなどをコードする。
独自のリボソームもミトコンドリア内に存在し、一部の蛋白はミトコンドリア内で合成される。
ただしミトコンドリア蛋白の約99%は核DNAにコードされ、細胞質で合成された後に輸送される。
独自DNAをもつ点は共生説として説明されることが多い。
71回 午後 問題49
上腹部の単純CT画像(第12の高さの横断面)とその模式図(別冊No.10)を別に示す。
矢印で示す臓器はどれか。
- 胃
- 肝臓
- 心臓
- 脾臓
- 大動脈

出典:第71回臨床検査技師国家試験の問題および正答について午後問題別冊
- 答えはここをクリック
-
2
【この問題のポイント】
この問題は、上腹部の横断像が理解できるかどうかが問われている。
今回は画像の中でも最も大きな臓器が問題となっているが、国家試験ではこのように最も特徴的なわかりやすいもので出題する可能性が高い。
この問題は「腹部で最も大きな臓器は何か?」に置き換えることができ、単純CTの画像がわからなくても解ける。
CT像は左右が逆になっている(画像右が患者の左、画像左が患者の右)ことにも要注意。
【各選択肢の解説】
1. 胃
胃は管腔臓器で、内容物やガス(空気)により低吸収域(黒っぽい)を含むことが多く、胃壁として輪郭が見える形になりやすい。
位置は左上腹部寄り(画像では右側寄り=患者左)に出ることが多い。
問題の像の矢印部は広い実質性の臓器で、胃の形態(管腔・ガス像)と一致しにくい。

出典:第71回臨床検査技師国家試験の問題および正答について午後問題別冊(一部改変)

2. 肝臓
肝臓は右上腹部を占める最大の実質臓器で、横断像では患者右側(画像では左側)に広い範囲で均一な軟部組織濃度として描出される。
問題の像の矢印は右側を大きく占める実質臓器で、肝臓の位置・形に合致する。

出典:第71回臨床検査技師国家試験の問題および正答について午後問題別冊(一部改変)

3. 心臓
心臓は胸腔内の臓器で、上腹部(T12)レベルでは基本的に写らない。
横隔膜より頭側の構造であり、この断面で矢印部に相当する位置には存在しない。

4. 脾臓
脾臓は左上腹部の実質臓器で、肝臓ほど大きくはなく、胃の外側・左横隔膜下に接して楕円形に見えることが多い。
問題の画像では患者左(=画像右)側に出る臓器であり、矢印位置(画像左側の大きな実質)とは一致しない。

出典:第71回臨床検査技師国家試験の問題および正答について午後問題別冊(一部改変)

5. 大動脈
大動脈は椎体前方の後腹膜に位置する円形〜楕円形の血管構造として見える。
単純CTでは椎骨のすぐ前方(正中〜やや左)に小さく描出される。
問題の像の矢印部のような広い実質臓器の形にはならない。

出典:第71回臨床検査技師国家試験の問題および正答について午後問題別冊(一部改変)
71回 午後 問題50
創傷治癒で正しいのはどれか。
- ケロイドは柔らかい組織である。
- 肉芽組織には毛細血管が乏しい。
- 創傷面が小さいほど瘢痕が形成されやすい。
- 二次的治癒では肉芽組織に依存して創傷が修復される。
- 一次的治癒は異物や細菌で汚染された創傷の治癒である。
- 答えはここをクリック
-
4
【この問題のポイント】
この問題は創傷治癒の基本(一次治癒と二次治癒の違い、肉芽組織の性状、瘢痕形成、ケロイドなどの病的瘢痕)を正しく整理できるかを問う問題。
用語としては、
- 一次治癒
創縁が近接して早く閉鎖する治癒 - 二次治癒
組織欠損が大きく肉芽形成と創収縮を伴う治癒 - 肉芽組織
毛細血管新生と線維芽細胞増殖が豊富
という対応が核になる。
【各選択肢の解説】
1. ケロイドは柔らかい組織である。
誤り。
ケロイドは病的瘢痕(瘢痕は傷跡のこと)の一つで、過剰な膠原線維沈着と線維化により一般に硬く隆起することが多い。
しばしば創縁を越えて増殖し、掻痒感や疼痛を伴うこともある。

ケロイドはコラーゲンの過剰な蓄積により硬く盛り上がるのが特徴。
2. 肉芽組織には毛細血管が乏しい。
誤り。
肉芽組織とは創傷治癒(修復)の過程でできる新生組織。
創傷治癒の増殖期に形成され、毛細血管新生が豊富で赤く顆粒状に見えるのが特徴。
ケロイドと違い柔らかい。
毛細血管が乏しいのは成熟した瘢痕組織で、肉芽組織とは逆。

肉芽組織は傷が治る増殖期に形成される新生組織で、イラストのように毛細血管が豊富に作られ、
赤く顆粒状に見えるのが特徴。酸素や栄養が活発に運ばれる。
3. 創傷面が小さいほど瘢痕が形成されやすい。
誤り。
一般に創傷面が広い(組織欠損が大きい)ほど、肉芽形成が必要となり、瘢痕(傷跡)形成が目立ちやすい。
創縁が近接して閉鎖できる小さな創は一次治癒になりやすく、瘢痕は相対的に小さくなりやすい。

傷が大きいほど、穴を埋めるための肉芽組織が多く必要となり、結果として大きな傷跡(瘢痕)が残りやすくなる。
4. 二次的治癒では肉芽組織に依存して創傷が修復される。
正しい。
二次的治癒は創縁の離開や組織欠損が大きい創傷で起こり、肉芽組織が創を埋め、そこに線維化(膠原線維沈着)と上皮化が進むことで修復される。
創収縮も目立ち、一次治癒より治癒に時間がかかり瘢痕が大きくなりやすい。

肉芽組織による穴埋め、コラーゲンによる線維化(瘢痕への成熟)、
上皮化と創収縮を経て治癒するが、時間がかかり大きな傷跡(瘢痕)が残りやすい。
5. 一次的治癒は異物や細菌で汚染された創傷の治癒である。
誤り。
一次的治癒は基本的に感染などがなく、鋭利な創傷で起こる治癒形態。
異物や細菌汚染が強い創は感染や炎症が遷延しやすく、一次的治癒の条件に合わない。
汚染創は遅延一次縫合(すぐ閉じずに洗浄などを行う)や二次的治癒の対象になる。

一次的治癒には細菌や異物がない「キレイな傷」であり、汚染された傷をそのまま閉じると炎症や化膿を引き起こす。
汚染創に対しては、まず洗浄を行い、遅延一次縫合や二次治癒を選択する。
71回 午後 問題51
病理解剖で誤っているのはどれか。
- 遺体に畏敬の念を持つ。
- 臨床経過の把握は不要である。
- 感染の危険性があることを認識する。
- 準備が整うまで遺体は冷蔵庫に保存する。
- 死後変化を少なくするため速やかに実施する。
- 答えはここをクリック
-
2
【この問題のポイント】
この問題は病理解剖の基本姿勢(倫理)と、実務上の原則(安全管理・保存・実施時期・情報収集)を問う問題。
病理解剖は死因・病態の解明や診療の検証を目的とするため、遺体への尊重、感染対策、適切な保存、死後変化を抑えるための迅速な実施に加えて、臨床経過や検査所見などの情報が重要になる。

【各選択肢の解説】
1. 遺体に畏敬の念を持つ。
正しい。
病理解剖は遺体の尊厳を守る姿勢が基本。
倫理的配慮(丁寧な取り扱い、必要最小限の侵襲、適切な復元など)が求められる。
2. 臨床経過の把握は不要である。
誤り。
臨床経過、画像、検査データ、治療内容、死亡までの経過は病理解剖の所見解釈に不可欠。
剖検所見は臨床情報と照合して初めて意味づけができ、臨床診断の妥当性評価や死因の確定、合併症の検証などに直結する。
3. 感染の危険性があることを認識する。
正しい。
病理解剖では血液・体液・臓器に曝露するため、HBV、HCV、HIV、結核、プリオン病などの感染リスクを常に想定する必要がある。
標準予防策(PPE(ガウン、手袋、マスク、エプロンなど)、鋭利器材の取り扱い、飛沫・エアロゾル対策など)が基本。
4. 準備が整うまで遺体は冷蔵庫に保存する。
正しい。
腐敗など死後変化を遅らせるために低温保存が行われる。
適切な温度管理と、長時間の放置を避ける運用が必要。
5. 死後変化を少なくするため速やかに実施する。
正しい。
死後変化(硬直、自己融解、腐敗、血液凝固、ガス発生など)は時間とともに進み、診断能を低下させるため、可能な範囲で速やかな実施が望ましい。
71回 午後 問題52
術中迅速組織標本作製で最初に行うのはどれか。
- 固定
- 脱灰
- 脱脂
- 脱水
- 切り出し
- 答えはここをクリック
-
5
【この問題のポイント】
この問題は術中迅速組織診(凍結切片)の標本作製手順を理解しているかを問う問題。
術中迅速では時間短縮のため、通常のパラフィン標本のような
固定脱水脱アルコールパラフィン浸透
は工程を踏むことができず、提出された組織を迅速に凍結・薄切・染色する。
そのため基本的には時間がかかるものは術中迅速でできないと覚えておくと良い。
したがって、最初に必要なのは検体を観察目的に合う形に整える操作(切り出し)になる。
【各選択肢の解説】
1. 固定
通常の標本(パラフィン包埋)では最初に固定(ホルマリンなど)を行うが、術中迅速では診断を急ぐため、固定を十分に行う工程は基本に含めない。
固定すると時間がかかり、凍結切片の目的(迅速性)に合わない。
2. 脱灰
脱灰は骨や石灰化を含む組織を薄切しやすくするための処理で、通常はパラフィン標本作製の前処理として行われる。
この脱灰作業はかなり時間がかかるため、術中迅速では行えない。
また、術中迅速時の凍結切片作製自体も厳しい。
3. 脱脂
脱脂は脂質をキシレンなどの溶媒で除去する操作でまあまあな時間がかかる。
そのため術中迅速で行うことはできない。
脂肪が含まれる検体は凍結切片しにくいため凍結条件(より温度を低くする)やフィルムを用いるなどの方法で対応する。
凍結切片は脱脂を行わずに作製可能であるため、脂肪染色を行いたい検体にも有効な方法。
4. 脱水
脱水はアルコールを使って組織内の水分を除去する操作。
この操作も時間がかかるため術中迅速(凍結切片)では行えない。
5. 切り出し
提出された検体から、診断に必要な部位を選び、薄切できる大きさ・厚さに整形する操作。
薄切による凍結切片が必要な術中迅速では最初に行わなければならない。
薄切が必要なパラフィン切片作製、凍結切片作製、透過型電子顕微鏡の超薄切などでは切り出しが必要となる。
71回 午後 問題53
免疫組織化学染色の検査対象となるのはどれか。
- DNA
- RNA
- 重金属
- 蛋白質
- 酵素活性
- 答えはここをクリック
-
4
【この問題のポイント】
この問題は免疫組織化学染色(IHC)が何を検出するかを問う基本問題。
IHCは抗体と抗原の特異的結合を利用し、組織切片上で目的分子の局在を可視化する方法で、検出対象は基本的に抗原=蛋白質(蛋白抗原)になる。
他の選択肢のDNAやRNAなどの核酸、酵素活性、重金属はIHC以外の方法で検出する。
【各選択肢の解説】
1. DNA
組織切片上でDNAを直接検出するのは免疫組織化学ではなく、in situ hybridization(ISH)を用いることが多い。

DNA配列に結合するプローブを用いるin situ hybridization(ISH)が適している。
2. RNA
組織切片上でRNAの検出するのはDNAと同じISHを用いる。
3. 重金属
病理分野で重金属を確認する際は、基本的に特殊染色(ベルリン青で鉄、ロダニンで銅など)を用いる。

4. 蛋白質
蛋白質はIHCの主要な検出対象。
抗体が組織内の抗原(多くは蛋白質)に結合し、酵素標識や蛍光標識で可視化する。
腫瘍の由来判定(サイトケラチン、ビメンチンなど)、増殖能(Ki-67)、受容体(ER/PR/HER2)発現の有無などに用いられる。

5. 酵素活性
免疫組織化学染色は酵素活性を利用するが、酵素活性自体を測定していない。
病理分野で酵素活性の測定は聞いたことないが、一般的に臨床化学などで酵素活性を測定する場合は比色法、蛍光法などを用いることが多いと思われる。
71回 午後 問題54
細胞学的検査法の特徴で誤っているのはどれか。
- 患者への侵襲が少ない。
- 検体採取が容易である。
- 液状検体の検査ができる。
- 腫瘍の病期を確定できる。
- 腫瘍の組織型を類推できる。
- 答えはここをクリック
-
4
【この問題のポイント】
この問題は、細胞診(細胞学的検査)の「できること/できないこと」を整理できているかを問う問題。
細胞診は擦過や穿刺吸引、体腔液などから得た細胞を観察するため、一般に侵襲が少なく、採取が比較的容易で、液状検体(喀痰、尿、体腔液など)にも適用できる。
一方で、組織構築や浸潤の評価が制限されるため、病期(ステージ)を確定するには限界がある。
腫瘍の種類は細胞形態からある程度推定できるが、確定診断や病期確定は組織診・画像・臨床情報の統合が必要になる。
細胞診の特徴を聞かれる場合は、組織診と対比して考えると理解しやすい。
【各選択肢の解説】
1. 患者への侵襲が少ない。
正しい。
細胞診は擦過、穿刺吸引、液状検体(尿、喀痰、体腔液など)採取で検体を得ることが多く、一般に外科的切除を行わないため、生検などに比べて侵襲が小さい。
麻酔や切開を要しない手技が多く、組織診と比べると患者負担が相対的に少ない。

2. 検体採取が容易である。
正しい。
喀痰・尿などは採取が比較的容易で、外来でも実施しやすい。
子宮頸部などはブラシ・ヘラで採取できる。
一方で、穿刺吸引は技術や画像ガイドを要し「常に容易」とは言い切れないが、細胞診全体の一般的特徴としては採取しやすい側に分類される。
組織に比べると圧倒的に容易であると言える。
3. 液状検体の検査ができる。
正しい。
体腔液(胸水・腹水・心嚢液)、尿、髄液、喀痰など、液状検体は細胞診の代表的対象。
沈渣・遠心・塗抹・液状化検体(LBC)などで標本作製ができる。
4. 腫瘍の病期を確定できる。
誤り。
病期(TNMなど)は、腫瘍の大きさや広がり、リンパ節転移、遠隔転移といった情報で決まる。
細胞診は細胞一つ一つの評価が中心で、組織構築や浸潤度、臓器内での広がりを直接確定することは厳しい。
病期確定には画像検査や組織診、手術所見などの統合が必要になる。

5. 腫瘍の組織型を類推できる。
正しい。
組織型とは例えば「扁平上皮癌」「腺癌」など各臓器における腫瘍の種類のこと。
基本的には組織診における増殖形態や細胞形態などから推測されるが、細胞診で見られる細胞形態(細胞質の性状、核形、核小体、配列、角化傾向、粘液産生など)も組織を模倣して出現するものが多く、腺癌・扁平上皮癌・小細胞癌などの組織型を推定できる場合がある。
ただし「類推」であり、確定が難しいケースでは組織診や免疫染色などが必要になる。
71回 午後 問題55
H-E染色標本(別冊No.11)を別に示す。
この臓器はどれか。
- 気管
- 食道
- 大腸
- 皮膚
- 膀胱

出典:第71回臨床検査技師国家試験の問題および正答について午後問題別冊
- 答えはここをクリック
-
4
【この問題のポイント】
提示されたH-E(ヘマトキシリン-エオジン)標本が、どの臓器に特徴的な組織構造を示しているかを判定する問題。
基本的には上皮の有無や種類(重層扁平上皮、単層円柱上皮など)、全体の構造(粘膜固有層や筋層の構成、軟骨の有無、その他特徴的構造など)を見ていく必要がある。
今回の画像では、表層に角化を伴う重層扁平上皮と、その直下に毛包様構造や脂腺、汗腺の構造がみられるため、皮膚の基本構造と一致する
多くの学校では正常組織のスケッチを行うと思われるが、その際によく観察して特徴を掴むことを勧める。
【各選択肢の解説】
1. 気管
気管の粘膜上皮は多列線毛円柱上皮で、粘膜下には気管腺があり、さらにその下方に硝子軟骨が存在する。
今回の画像では、線毛円柱上皮や軟骨が見えず、代わりに角化した重層扁平上皮と毛包様構造が目立つため、気管の所見とは一致しない。
2. 食道
食道粘膜は非角化重層扁平上皮で、消化管特有の層構造が見られる(粘膜上皮、粘膜固有層、粘膜筋板、粘膜下層、筋層、外膜)。
粘膜下に食道腺がみられることもある。
今回の画像は消化管特有の層構造というより、2層(表皮と真皮)しか見られないため消化管の選択肢はすぐに除外できる。
3. 大腸
大腸の粘膜上皮は単層円柱上皮で、杯細胞が多いのが特徴的。
食道と同じ消化管であるため、粘膜上皮、粘膜筋板、粘膜下層、筋層(内輪・外縦)、漿膜が続く。
今回の画像では単層円柱上皮や層構造が見られないため除外できる。
4. 皮膚
皮膚は表層から表皮(角化重層扁平上皮)と真皮(膠原線維主体の結合組織)で構成され、部位によって毛包・脂腺・汗腺などの皮膚付属器が存在する。
今回の画像では、表面に角化層を伴う重層扁平上皮があり、真皮内に毛包様の長い構造と、その周囲に腺房状の脂腺構造や汗腺がみられる。
これらは皮膚に特徴的な所見。
5. 膀胱
膀胱粘膜上皮は尿路上皮(移行上皮)で、表層にアンブレラ細胞(被蓋細胞)がみられる。
粘膜下に筋層が発達し、上皮直下に皮膚付属器は存在しない。
今回の画像には尿路上皮の特徴(多層で丸みや多核を持つアンブレラ細胞)よりも、角化重層扁平上皮と毛包・腺構造が目立つため膀胱じゃ除外できる。
71回 午後 問題56
アスベストばく露と関連する腫瘍はどれか。
- 胃癌
- 肝癌
- 乳癌
- 悪性黒色腫
- 悪性中皮腫
- 答えはここをクリック
【この問題のポイント】
【各選択肢の解説】
71回 午後 問題57
アミロイドβ蛋白の沈着を特徴とする疾患はどれか。
- Alzheimer 病
- Creutzfeldt-Jakob 病
- Guillain-Barré 症候群
- 進行性多巢性白質脑症
- 筋萎縮性側索硬化症〈ALS〉
- 答えはここをクリック
【この問題のポイント】
【各選択肢の解説】
71回 午後 問題58
走査型電子顕微鏡標本の作製工程に含まれないのはどれか。
- 超薄切
- 金属イオン蒸着
- タンニン酸処理
- オスミウム酸固定
- グルタルアルデヒド固定
- 答えはここをクリック
