【アザン染色】原理と方法・肝臓と腎臓の染まり方と色を解説(マッソンとの比較表あり)
	主に膠原線維をアニリン青で選択的に染め出すことを目的とした染色法で、組織構築の全体像、線維化病変、および糸球体基底膜の観察に利用されます。
マッソン・トリクローム染色に似ており、染色性の違いや画像問題が出題されます。
アザン染色単体でも試薬や、肝臓・腎臓・心臓・肺のどんな疾患に有効かなどが問われるためその点を押さえておきましょう。
この記事ではそのすべてが分かるようになります。
アザン染色の試薬と手順
赤文字は覚えたい重要な試薬です。
- 脱パラ・脱キシ・親水
 - 10%重クロム酸K・10%トリクロロ酢酸の等量混合液
(媒染) - アゾカルミンG
(染色) - アニリン・アルコール
(分別) - 酢酸アルコール
(分別停止) - 5%リンタングステン酸またはリンモリブデン酸水溶液
(媒染) - アニリン青・オレンジG混合液
(染色) - 無水エタノールまたはイソプロピルアルコール
 - 透徹・封入
 
アザン染色の原理の特徴2つ|色素と媒染剤
アザン染色の原理と特徴は以下の2つです。
- 色素の大きさによる染め分け
 - 選択的染色
 
色素の大きさによる染め分け
アザン染色は酸性色素のオレンジG、アゾカルミンG、アニリン青が使用されます。

これらの色素は分子の大きさによって組織内への拡散に差が生じ、組織の疎密構造の違い(構造の粗さ)によって取り込まれる色素が異なります。
細胞は密度が一定ではなく、以下のように様々です。

この密度の違いと色素の分子量の違うを利用して染め分けます。
- 構造が密な赤血球には小さいオレンジGが入る。
 - 中密度の筋線維、細胞質、核には中間のアゾカルミンGが入る。
 - 低密度な膠原線維、細網線維、糸球体基底膜には大きいアニリン青が入る。
 

アザン染色のメイン色素はアゾカルミンとアニリン青です。
AZAN染色という名前はこの2つの色素の頭文字をつなげたものです。
染色名から色素を思い出せるようにしておこう!

媒染剤による選択的染色
アザン染色による膠原線維の選択的な染色は、リンタングステン酸が親和した部分に、アゾカルミンGに代わってアニリン青が入れ替わることで生じます。
酸性色素の疎水結合も膠原線維の染色に関与しているとされています
つまり、以下の流れで染まります。
- アゾカルミンGで全体的に赤くなる
 - 分別液とリンタングステン酸で脱色&置換
 - アニリン青でさらに置換して染まる
 
このように媒染剤のリンタングステン酸などが重要な働きを持ちます。
- 10%重クロム酸カリウム・ 10%トリクロロ酢酸 等量混合液もしくはブアン
 - リンタングステン酸またはリンモリブデン酸
 
これらは以下のような作用があります。
❶はアゾカルミンGの染色性を安定
❷はアニリン青の染色性の安定とアゾカルミンGの分別作用
そのため
❶はアゾカルミンGの前に使用し❷はアニリン青の前に使用することになります。
マッソン・トリクローム染色との鑑別は核
アザン染色はマッソン・トリクローム染色と染色結果がほぼ同じなため、鑑別が出題されます。
まず、それぞれの染色結果を以下の表で確認してみましょう
(弾性線維はEVG染色、細網線維は渡辺の鍍銀が主な染色法です)
| 染色法 | アザン | マッソン・ トリクローム  | 
|---|---|---|
| 膠原線維 | 青 (アニリン青)  | 青 (アニリン青)  | 
| 細網線維 | 青 (アニリン青)  | 青 (アニリン青)  | 
| 弾性線維 | 淡赤 (アゾカルミン)  | 淡赤 (酸フクシン)  | 
| 筋線維 | 赤 (アゾカルミン)  | 赤 (酸フクシン)  | 
| 糸球体基底膜 | 青 (アニリン青)  | 青 (アニリン青)  | 
| 赤血球 | 橙 (オレンジG)  | 橙 (オレンジG)  | 
| 細胞質 | 淡赤 (アゾカルミン)  | 淡赤 (酸フクシン)  | 
| 免疫複合体 | 赤 (アゾカルミン)  | 赤 (酸フクシン)  | 
| 核 | 赤 (アゾカルミン)  | 黒褐色 (鉄ヘマトキシリン)  | 
上表赤色の【核】だけの色が異なります。
つまり、鑑別ポイントは核の色です。
- 明るい赤
=アザン - 黒褐色(黒紫っぽい)
=マッソン・トリクローム 
実際の画像を比較して鑑別点を理解しましょう。

次に拡大した画像も見てみましょう。

教科書ではマッソン・トリクロームの核は「黒」や「黒褐色」と表現されます。しかし実際は「暗い紫」に見えることが多いです。
教科書の記載と実際の見え方に差があることを理解しておきましょう。
アザン 染色が有効な組織・疾患
マッソン・トリクローム染色が画像で出題されるのは以下の4つです。
特に赤字の疾患は覚えてください。
- 腎臓
- 糸球体基底膜や間質の線維化、膠原線維の増生の評価
 - 糸球体腎炎(膜性腎症)などで糸球体に沈着した免疫グロブリンや蛋白質の検出
 
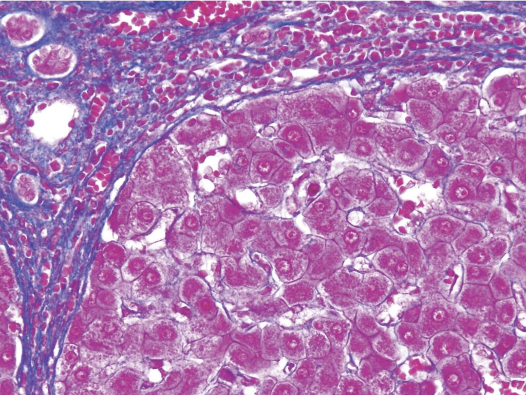
 - 肝臓
- 肝硬変や慢性肝炎などにおける線維化(膠原線維の増生)の評価
 
 - 心臓
- 心筋梗塞後の線維化(瘢痕形成)や心筋の結合組織増生の評価
 
 - 肺
- 間質性肺炎時の増生した膠原線維を検出
 
 
マッソン・トリクローム染色も同じと覚えておきましょう。
アザン染色 関連問題
問題 60A55
腎組織の特殊染色標本(別冊 No.6)を別に示す。
使用する染色液はどれか。2つ選べ。
1.マッソン〈Masson〉液
2.ワンギーソン〈van Gieson〉液
3.アゾカルミン G 液
4.鉄ヘマトキシリン液
5.アニリン青オレンジ G 液
- 答えはここをクリック
 - 
3.アゾカルミン G 液
5.アニリン青オレンジ G 液
 
問題 66A51
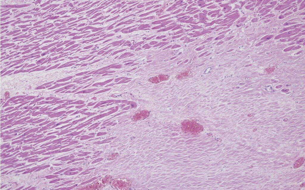
陳旧性心筋梗塞のH-E染色標本(別冊No.8)を別に示す。
病変の広がりを確認するために最も適している染色法はどれか。
1.Alcian blue 染色
2.azan 染色
3.Masson-Fontana 染色
4.mucicarmine 染色
5.Sudan Ⅲ染色

問題 67A47
肝臓の特殊染色標本(別冊No.6)を別に示す。
染色はどれか。
1.azan 染色
2.oil red O 染色
3.Victoria blue 染色
4.toluidine blue 染色
5.Masson trichrome 染色

- 答えはここをクリック
 - 
1.azan 染色
 
問題 68A56
膠原線維の染色に用いられる染色法はどれか。
2つ選べ。
1.PAS 反応
2.azan 染色
3.Feulgen 反応
4.mucicarmine 染色
5.Masson trichrome 染色
- 答えはここをクリック
 - 
2.azan 染色
5.Masson trichrome 染色 
問題 68P46
疾患とその診断に有用な染色法との組合せで誤っているのはどれか。
1.肝硬変 ー 渡辺の鍍銀法
2.心筋梗塞 ー azan染色
3.ヘモジデローシス ー toluidine blue染色
4.慢性糸球体腎炎 ー PAM染色
5.B型肝炎 ー Victoria blue染色
- 答えはここをクリック
 - 
3.ヘモジデローシス ー toluidine blue 染色
 

