第71回臨床検査技師国家試験 解説・裏回答・周辺知識まとめ
この記事では2025年2月19日に実施された第71回臨床検査技師国家試験の病理、細胞診、解剖を主に解説していきます。
71回に関しては、問題33が細胞小器官に関するものだったため、追加で解説しています。
各設問の裏回答だけでなく、必要な周辺知識も全て記載しています。
関連する詳細な解説記事も載せているため71回国試の病理の問題全ての知識がここで手に入ります。
各問題は動画解説も作成しています。
動画および解説は完成次第、順次アップしていきます。
【問題と別冊の出典】
厚生労働省HP:第71回臨床検査技師国家試験問題および正答について
- 71回 午前の問題
- 71回 午後の問題
71回 午前の問題
71回 午前 問題33
蛋白質に糖鎖の付加が行われるのはどれか。
- 核
- 細胞膜
- ゴルジ装置
- リソソーム
- リボソーム
- 答えはここをクリック
-
3
【この問題のポイント】
この問題は、蛋白質に糖鎖が付加される細胞内の部位(翻訳後修飾の場)を正しく理解しているかを問う問題である。
蛋白質はリボソームで合成された後、そのまま機能するわけではなく、糖鎖付加(糖タンパク質化)などの修飾を受けて初めて機能を獲得するものが多い。
そのため、
- 蛋白質合成の場
- 翻訳後修飾が行われる細胞小器官
- 各細胞小器官の役割
といった細胞生物学の基礎知識が必要となる。
【各選択肢の解説】
1.核
核はDNAが格納される場所で、転写(mRNA合成)が行われる細胞小器官。
糖鎖付加は転写段階では起こらず、蛋白質合成後の修飾として行われるため、核は該当しない。
2.細胞膜
細胞膜はリン脂質二重層からなる構造で、受容体やチャネルなどの膜蛋白質を含む。
膜蛋白質の多くは糖鎖を持つが、糖鎖の付加そのものは細胞膜では行われない。
糖鎖付加は細胞膜へ輸送される前の段階で行われる。
3.ゴルジ装置
ゴルジ装置は、蛋白質や脂質の翻訳後修飾・糖鎖付加・仕分けを行う細胞小器官である。
粗面小胞体で合成された蛋白質はゴルジ装置に運ばれ、N結合型糖鎖の修飾、O結合型糖鎖の付加などが行われる。
ゴルジ装置は糖鎖付加の中心的な場であり、細胞生物学的に重要な知識である。
4.リソソーム
リソソームは加水分解酵素を含み、細胞内消化を担う細胞小器官。
蛋白質や糖鎖を分解する場であり、糖鎖を新たに付加する機能は持たない。
5.リボソーム
リボソームはmRNAを鋳型として蛋白質合成(翻訳)を行う装置である。
しかし、糖鎖付加は翻訳後修飾であり、リボソーム上では行われない。
リボソームではアミノ酸配列が作られるのみである。
71回 午前 問題45
組織標本作製において脱灰の適温が最も高いのはどれか。
- 塩酸法
- 硝酸法
- トリクロロ酢酸法
- エチレンジアミン四酢酸<EDTA>法
- プランク・リクロ<Plank-Rychlo>法
- 答えはここをクリック
-
4
【この問題のポイント】
この問題は組織標本作製における脱灰法ごとの「適温」を正しく理解しているかを問う問題。
脱灰は骨や石灰化組織からカルシウム塩を除去する工程で、使用する脱灰液の種類によって反応速度・組織障害・適温などが異なる。
本問では特に
- 無機酸法
- 有機酸法
- キレート法
それぞれの脱灰原理と温度条件を整理できているかが重要。
酸による脱灰は基本15℃(室温程度)前後で行い、免染時には4℃(低温)前後の低温で行う。
【各選択肢の解説】
1.塩酸法
塩酸法は無機酸による脱灰法であり、カルシウム塩を酸で速やかに溶解する。
反応は速いが、
- 組織障害
- 核染色性低下
- 免疫染色への悪影響
を起こしやすいため、低温〜室温で使用するのが原則。
高温で行うと組織変性が強くなる。
2.硝酸法
硝酸法も無機酸脱灰法であり、塩酸法と同様に脱灰速度は速い。
塩酸よりは弱いが組織障害や染色性の低下が生じるため、低温〜室温で使用するのが基本。
3.トリクロロ酢酸法
トリクロロ酢酸は有機酸脱灰法に分類される。
無機酸より組織障害は少ないが、同じ有機酸のギ酸よりは強い。
ため、低温〜室温前後で使用される。
4.エチレンジアミン四酢酸(EDTA)法
EDTA法はキレート作用によりカルシウムイオンを捕捉して脱灰する方法である。
- 組織構造の保存性が極めて良好
- 酵素活性・抗原性が保たれやすい
一方で脱灰速度が非常に遅いため、反応を促進する目的で比較的高温(30℃前後)で行われることが多い。
この点が酸脱灰法との大きな違いである。
5.プランク・リクロ(Plank-Rychlo)法
プランク・リクロ法は塩酸+蟻酸(有機酸)を組み合わせた混合脱灰法で、脱灰速度が速いため迅速脱灰法とも呼ばれる。
酸が含まれているため、基本的には低温で使用される。

71回 午前 問題46
ヘマトキシリンの色出しに使用するのはどれか。2つ選べ。
- 酢酸
- クエン酸
- アンモニア水
- 炭酸リチウム
- 塩酸アルコール
- 答えはここをクリック
-
3 4
【この問題のポイント】
この問題は、ヘマトキシリン染色後の「色出し」に用いられる試薬を正しく理解しているかを問うもの。
ヘマトキシリン染色では
- 核が一旦 赤紫色(酸性条件) に染まる
- その後、弱アルカリ性条件にすることで
- 安定した青色(色出し) に変化する
という工程を踏む。
本選択肢では、
- 酸性試薬
- アルカリ性試薬
- 脱色や分別に使う試薬
を役割ごとに区別できているかが重要。
今回は色出しの試薬が問われているので、アルカリ性試薬を選べば良い。
【各選択肢の解説】
1.酢酸
酢酸は弱酸性の試薬である。
ヘマトキシリンの色出しにはアルカリ性環境が必要であり、酢酸はこれに反する。
酢酸は主に
- エオシン染色液のpH調整
- 分別
などに用いられ、色出しには使用されない。
2.クエン酸
クエン酸も酸性試薬であり、キレート作用を持つ有機酸。
染色工程では
- 緩衝液
- pH調整
として用いられることはあるが、ヘマトキシリンの色出しには使用されない。
マイヤーのヘマトキシリン液に含まれる。
3.アンモニア水
アンモニア水は弱アルカリ性であり、
ヘマトキシリン染色の色出しに用いられる。
4.炭酸リチウム
炭酸リチウムもアルカリ性を示す試薬であり、
アンモニア水と同様に色出しに用いられる。
比較的穏やかに作用し、核の青色が安定する。
5.塩酸アルコール
塩酸アルコールは強い酸性の分別液で
- ヘマトキシリンの過剰染色を除去する目的
- 核以外に付着した色素を落とす
のために使用される。
つまり色出しではなく、脱色・分別の工程で用いられる。
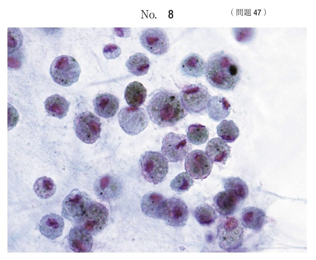
71回 午前 問題47
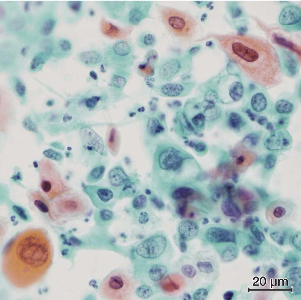
喀痰の Papanicolaou 染色標本(別冊No.8)を別に示す。
この細胞で判定するのはどれか。
- 感染の有無
- 腫瘍の組織型
- 病変の進行度
- 検査材料の適性
- 炭粉沈着の程度

出典:第71回臨床検査技師国家試験の問題および正答について午前問題別冊
- 答えはここをクリック
-
4
【この問題のポイント】
この問題は喀痰のPapanicolaou染色標本に出現する特定の細胞が、何の評価に用いられるかを問う問題。
喀痰細胞診では、
- 腫瘍細胞そのものを評価する場合
- 感染や背景所見をみる場合
- 検体として適切かどうかを判断する場合
などがあり、細胞の種類によって判断できるものが異なる。
本問では画像に示された細胞から、この細胞が何の判定に使われる細胞かを理解しているかが問われている。
画像の細胞は塵埃細胞や肺胞マクロファージと呼ばれる肺胞内の組織球である。
【各選択肢の解説】
1.感染の有無
感染の有無は感染源となる真菌やウイルス感染細胞などを見つけることで評価される。
画像の細胞は組織球で、感染そのものを直接判定する指標ではない。
呼吸器細胞診であり得る一般的な感染症は以下の通り。
- 結核
- アスペルギルス
- ムコール
- クリプトコッカス
- ニューモシスチス・イロヴェチ
- サイトメガロウイルス
- ヘルペスウイルス
2.腫瘍の組織型
腫瘍の組織型は、腫瘍細胞を見て判定する。
画像は腫瘍細胞ではなく組織球で、組織型判定の対象にはならない。
国家試験レベルの肺癌で覚えたいのは次の3つ。
- 腺癌
- 扁平上皮癌
- 小細胞癌
3.病変の進行度
病変の進行度(ステージ)は、
- 腫瘍の大きさ
- 浸潤範囲
- 転移の有無
などをもとに判断される。
喀痰中の特定細胞のみから進行度を評価することはできない。
4.検査材料の適性
喀痰細胞診では【肺胞マクロファージが含まれているか】によって、検体が適切かどうかを判断する。
肺胞マクロファージが含まれていない場合はただの唾液の可能性があるので再度提出してもらう。
画像に示されている細胞は、
- 結合性がない(孤在性)
- 豊富な細胞質
- 細胞質に炭粉様物質
- 偏在性核
- 核異型は無し
の所見が見られるため、検査材料の適否判定に用いられる肺胞マクロファージだとわかる。

5.炭粉沈着の程度
炭粉沈着は喫煙歴や大気汚染との関連を示す所見にはなるが、細胞診検体で沈着の程度を評価するのは厳しい。
今回の設問にはそぐわない。
71回 午前 問題48
完成した染色標本とパラフィンブロックの照合で確認できるのはどれか。
- 切片の厚さ
- 染色の状態
- 切片の取り違え
- 切片の折れ曲がり
- 脱パラフィン不足
- 答えはここをクリック
-
3
【この問題のポイント】
この問題は、病理標本作製の工程管理で行う照合(完成した染色標本とパラフィンブロックの突き合わせ)によって、何が確認できるかを問う問題。
照合で確認するのは、完成標本がどのブロックから作られたかという対応関係であり、検体・患者の取り違え防止が目的になる。
一方、切片の状態や染色の良否、脱パラフィンの成否といった品質は、標本の観察や工程の管理で評価する事項で、ブロックとの照合だけでは判断できない。
【各選択肢の解説】
1.切片の厚さ
切片の厚さはミクロトームの設定や刃の状態、切削条件で決まる。
厚さの適否は焦点深度や染色性などから標本上で評価できるが、パラフィンブロックとの照合そのものでは確認できない。
2.染色の状態
染色の状態は、過染・低染、ムラ、背景の汚れなどを完成した染色標本から評価できる。
パラフィンブロックには染色状態の情報がないため、照合では確認できない。
3.切片の取り違え
完成した染色標本とパラフィンブロックの照合により、標本が正しいブロック由来か、別症例の切片が混入していないかを確認できる。

左:ブロック 右:HE標本
検体を取り違えているため、ブロック内にある組織の形と違う形の標本ができている。
4.切片の折れ曲がり
折れ曲がりは薄切時、水槽での展開時、スライドへの貼付時などの過程で起こる物理的アーチファクトで、完成標本を観察することで確認できる。
ブロックとの照合では確認できない。
5.脱パラフィン不足
脱パラフィン不足は、染色ムラや疎水性残存として標本上に現れる工程上の不備であり、ブロックとの照合で直接確認する事項ではない。
71回 午前 問題49
肝前性黄疸の原因はどれか。
- 胆管癌
- 溶血性貧血
- 薬剤性肝障害
- アルコール性肝障害
- Dubin-Johnson 症候群
- 答えはここをクリック
-
2
【この問題のポイント】
この問題は、黄疸を発生部位(肝前性・肝性・肝後性)で分類し、それぞれの代表的原因疾患を対応づけられるかを問う問題。
肝前性黄疸は肝臓に到達する前の段階でビリルビン産生が過剰になる状態で、主に溶血などで非抱合型(間接)ビリルビンが増加する。
一方、肝性黄疸は肝細胞障害や胆汁排泄障害、肝後性黄疸は胆道閉塞が原因で、抱合型(直接)ビリルビンが増加する。
肝細胞の障害強い場合は、グルクロン酸抱合も障害されるため、肝性黄疸でも間接ビリルビンの増加が見られる。
【各選択肢の解説】
1 胆管癌
胆管の閉塞により胆汁流出が障害される。
これは胆道閉塞による肝後性黄疸の原因となる。
血中では抱合型ビリルビンが増加しやすく、尿中ビリルビン陽性となりやすい。
2 溶血性貧血
赤血球破壊(溶血)が亢進し、ヘム代謝由来のビリルビン産生が過剰になる。
肝臓の処理能力を超えると非抱合型ビリルビンが増加し、肝前性黄疸の典型的原因となる。
尿中ビリルビンは陰性になりやすく、尿中ウロビリノーゲンは増加しやすい。
3 薬剤性肝障害
薬剤により肝細胞障害型、胆汁うっ滞型、混合型などを起こす。
黄疸が出る場合は肝内での取り込み・抱合・排泄の障害により生じ、肝性黄疸に分類される。
4 アルコール性肝障害
アルコールによる肝細胞障害(脂肪肝、アルコール性肝炎、肝硬変など)で黄疸が出る場合は肝性黄疸に分類される。
肝細胞の障害によりビリルビン処理や胆汁排泄が低下する。
5 Dubin-Johnson 症候群
先天性の肝内胆汁排泄障害で、体質性黄疸とも呼ばれる常染色体劣性遺伝疾患。
グルクロン酸抱合は可能であるため、抱合型(直接)ビリルビンは生成できるが、胆汁への排泄が低下する。
そのため、直接ビリルビンの値が高くなる。
肝性黄疸(特に抱合型高ビリルビン血症)に分類されることが多い。
(病理の赤本には肝後性と記載されているが、その他の参考書はほとんど肝性)
肝前性黄疸の原因ではない。
類似の体質性黄疸にRotor症候群があり、これは間接ビリルビンの取り込みと直接ビリルビンの排泄の2つが障害される常染色体劣性遺伝疾患。
Dubin-Johnson 症候群と同様に血中の直接ビリルビンが高くなる。
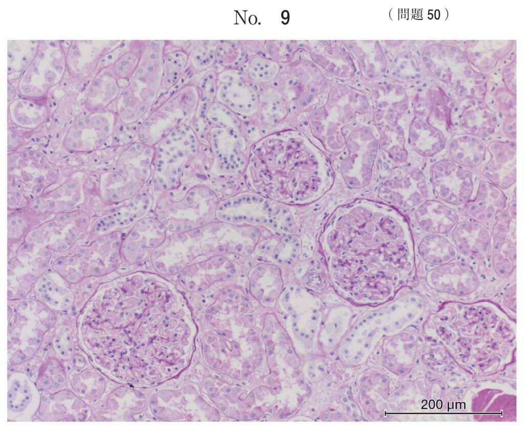
71回 午前 問題50
PAS反応標本(別冊No.9)を別に示す。
この臓器はどれか。
- 肝臓
- 食道
- 腎臓
- 大脳
- 脾臓

出典;厚生労働省ホームページ
第71回臨床検査技師国家試験の問題および正答について午前問題別冊
- 答えはここをクリック
-
3
【この問題のポイント】
この問題は、PAS反応(Periodic acid–Schiff反応)で染まる構造と、画像に見える組織構築から臓器を判定する問題。
PAS反応は多糖類(グリコーゲン)、中性ムコ多糖、糖タンパク、基底膜成分などを赤紫色に染める。
腎臓では糸球体係蹄の基底膜などがPAS陽性となり、臓器同定に有用である。
腎小体を認識できるかどうかが鍵である。
またPAS反応の時点で腎臓、肝臓、食道、膣、大腸、胃などに絞られる。
【各選択肢の解説】
1 肝臓
肝小葉構造(肝細胞索、類洞、中心静脈、門脈域)が基本となる。
PAS反応では肝細胞のグリコーゲンが陽性になり得るが、画像のような糸球体(球状構造)と尿細管が多数並ぶ構築は肝臓の所見ではない。

出典:厚生労働省ホームページ 第55回臨床検査技師国家試験の問題および正答について 午後問題別冊
2 食道
非角化型重層扁平上皮と粘膜固有層、粘膜筋板、粘膜下層(食道腺)など消化管特有の層構造がみられる。
PAS反応で上皮細胞内のグリコーゲンが陽性になり得るが、画像のような腺管状の尿細管配列や糸球体様構造は食道には出現しない。

出典:厚生労働省ホームページ改変
第70回臨床検査技師国家試験の問題および正答について午前問題別冊
3 腎臓
腎皮質では腎小体(糸球体とボーマン嚢からなる球状構造)と多数の尿細管がみられる。
PAS反応で糸球体基底膜などが陽性になる。
この所見が今回の画像(複数の腎小体+周囲に尿細管が密に存在)と一致する。

出典;厚生労働省ホームページ
第71回臨床検査技師国家試験の問題および正答について午前問題別冊
4 大脳
皮質と髄質に分けられ、皮質では神経細胞体、神経網(ニューロピル)、グリア細胞などが主体で、髄質では神経細胞体以外が主体。
大脳は腎臓のように管腔構造が密に並ぶ像や糸球体様構造はみられない。
PAS反応は血管基底膜などで陽性になり得るが、今回の画像のような腎皮質の構築とは一致しない。

出典;Nephron, CC BY-SA 3.0, via Commons.
5 脾臓
白脾髄(リンパ濾胞、中心動脈)と赤脾髄(脾索、脾洞)が基本構造。
脾臓に対してPAS反応を用いることはあまりない。

71回 午前 問題51
FISH 法による乳癌HER2検査の模式図(別冊No.10)を示す。
HER2とCEP17のシグナル比(HER2/CEP17)で最も近いのはどれか。
- 0.5
- 1.0
- 3.0
- 10.0
- 50.0

出典:厚生労働省ホームページ 第71回臨床検査技師国家試験の問題および正答について 午前問題別冊
- 答えはここをクリック
-
3
【この問題のポイント】
この問題は、乳癌のHER2 FISH(蛍光in situハイブリダイゼーション)検査で使う二重プローブの読み方を問う問題。
模式図からHER2シグナル(遺伝子座)とCEP17シグナル(17番染色体セントロメア)の数を数え、HER2/CEP17比を求めて最も近い値を選ぶ。
FISH判定では一定数の核でHER2とCEP17を計数し、HER2シグナル総数をCEP17シグナル総数で割って比を算出する。加えて、1細胞あたりのHER2平均コピー数も別指標として算出して判定に用いる運用がある。
【各選択肢の解説】
1. 0.5
HER2シグナル総数がCEP17シグナル総数の半分程度である状態を示す比。
図のようにHER2シグナルが多く見える状況とは合わない。
2. 1.0
HER2とCEP17が同程度のシグナル数である状態を示す比。
増幅が明確でない場合に近い。
図ではHER2シグナルがCEP17より多く、1.0は近くない。
3. 3.0
図では、HER2(黒)とCEP17(白)を合計して比を作ると3前後になる。
実際の総数(HER2=49、CEP17=16)を用いると、49/16 = 3.0625 となり、選択肢では3.0が最も近い。
4. 10.0
HER2がCEP17の約10倍に相当する比。
図のシグナル増加はそこまで極端ではなく、この値に近づくにはHER2がCEP17に対してさらに大幅に多い必要がある。
5. 50.0
HER2がCEP17の約50倍に相当する比。
図のシグナル数と合わない。
71回 午前 問題52
子宮頸部細胞診のPapanicoloau 染色標本の弱拡大写真(別冊No.11A)と強拡大写真(別冊No.11B)を別に示す。
適切な判定はどれか。
- NILM<陰性>
- LSIL<軽度扁平上皮内病変>
- HSIL<高度扁平上皮内病変>
- SCC<扁平上皮癌>
- Adenocarcinoma <腺癌>

出典:厚生労働省ホームページ 第71回臨床検査技師国家試験問題および正答について
- 答えはここをクリック
-
4
【この問題のポイント】
この問題は子宮頸部細胞診(Papanicolaou染色)標本に出現する細胞がベセスダシステム(NILM/LSIL/HSIL/SCC/Adenocarcinoma)のどこに該当するかを問う問題。
鑑別の軸は、核異型の強さ(核形不整、クロマチンの粗さ・不均一、核小体、核/細胞質比)、細胞の多形性、角化の有無、細胞集塊の性状、そして背景所見(腫瘍性背景汚染・壊死成分など)の有無。腺癌は腺系配列(柵状、羽毛状など)を示すかで別に考える。
ベセスダシステムについても知らないと解けない問題となっている。
【各選択肢の解説】
1 NILM<陰性>
NILMは上皮内病変や悪性を示す所見がない、いわゆる正常や炎症、感染症が該当する判定。
反応性変化や炎症に伴う核腫大はあり得るが、悪性を疑う核形不整の強さ、クロマチン異常、明らかな腫瘍性細胞集団があるものはNILMと判定しない。
画像は細胞の異型が明確であるためNILMに該当しない。

出典:第67回臨床検査技師国家試験問題および正答について
2 LSIL<軽度扁平上皮内病変>
LSILは軽度異形成やHPV感染に伴う細胞が該当する
典型例ではコイロサイトーシス(周核明庭を伴う細胞質変化)と比較的軽度の核異型がみられる場合に用いる。
核/細胞質比はHSILやSCCほど高くないことが多い。提示像の異型はLSILの範囲を超える。

出典:第61回臨床検査技師国家試験問題および正答について
3 HSIL<高度扁平上皮内病変>
HSILには中等度異形成、高度異形成、上皮内癌が含まれる。
傍基底型の小型異型細胞が主体で、N/C比増大、核形不整、クロマチン増量などが目立つ。
一方、SCCではHSILよりもさらに、細胞の多形性が強く(色んな形が出る)、強い核異型を示す腫瘍細胞が出現しやすい。
問題の画像は浸潤癌相当の所見として扱うのが適切で、HSILとはならない。

出典:第69回臨床検査技師国家試験問題および正答について
4 SCC<扁平上皮癌>
SCCはSquamous cell carcinomaの頭文字で扁平上皮癌のこと。
著明な核異型(核形不整、クロマチンの粗さ・不均一、核濃染)、細胞の多形性、時に角化傾向を示す細胞(濃い橙色調の細胞質をもつ細胞)が出現する。
壊死など腫瘍性背景がみられることもあるが、背景所見は常に必須ではなく、細胞自体の悪性所見が強ければSCCと判定できる。
問題の画像は角化や強い異型、多形性が見られるため、SCCと判定する。

5 Adenocarcinoma<腺癌>
Adenocarcinoma(腺癌)は腺系細胞集塊(柵状配列、羽毛状配列、腺管様、重積)や腺細胞特有の核所見(核小体が目立つなど)が主体の時に判定する。
問題の画像は角化など明らかな扁平上皮系の悪性所見が主体で、腺系配列が主所見ではないため腺癌とはしない。

出典:第64回臨床検査技師国家試験問題および正答について
71回 午前 問題53
自動固定包埋装置における標本作製工程にないのはどれか。
- 乾燥
- 脱脂
- 脱水
- 脱アルコール
- パラフィン浸透
- 答えはここをクリック
-
1
【この問題のポイント】
この問題は、自動固定包埋装置で行われる標本作製工程の標準的な流れを理解しているかを問う問題。
自動装置で行うのは、固定後の組織をパラフィン包埋できる状態にするための工程で、一般に脱水(アルコール系列)、脱アルコール(置換・脱アルコールとしてキシレン等に置換)、パラフィン浸透が中心となる。
装置によっては固定も可能。
装置の工程に含まれる処理と、含まれない操作(別工程で行うもの)を区別する知識が必要。
【各選択肢の解説】
1 乾燥
乾燥は自動組織処理装置の標準工程ではない。
通常は組織処理工程に乾燥はない。
薄切してスライドガラスに切片を貼付した後の染色前に乾燥させると、剥がれにくくなる。
2 脱脂
脱脂は脂質を溶媒で除去する操作を指し、組織処理では脱アルコールのキシレンなどによって脂質が除去される。
結果として脱脂は行われるが、それを目的としているわけではなく、脱アルコールが主な目的。
そのため、脂質がたくさん含まれる組織は別で脱脂を行う必要がある。
3 脱水
固定後組織から水分を除去する工程で、段階的に濃度を上げたエタノール系列を用いる。
自動処理装置の基本工程に含まれる。
4 脱アルコール
脱水後、組織内のアルコールをキシレン等に置換する工程のこと。
脱アルコール剤は媒介剤、中間剤、中介在、置換剤など様々な呼び方があることに注意。
実際には以下溶媒が使用される。
5 パラフィン浸透
キシレンなどに置換後、組織内の中間剤をパラフィンに置換し、パラフィンを組織内に浸透させる工程。
自動処理装置の基本工程に含まれる。
71回 午前 問題54
Grocott 染色に用いるのはどれか。2つ選べ。
- クロム酸
- シュウ酸
- 過ヨウ素酸
- アンモニア銀
- メセナミン銀
- 答えはここをクリック
-
1 5
【この問題のポイント】
この問題はGrocott染色の工程で実際に用いる試薬を理解しているかを問う問題。
Grocott染色は真菌細胞壁などの多糖類を酸化してアルデヒド基を作り、銀を還元沈着させて黒色に染める銀染色。
つまり、Grocott染色の基本事項として酸化剤と銀液を覚える必要がある。
【各選択肢の解説】
1 クロム酸
Grocott染色の酸化工程で用いられる。
クロム酸で酸化処理を行った後、亜硫酸水素ナトリウムで還元処理し、続いてメセナミン銀反応へ進むという手順が代表的なプロトコール。
2 シュウ酸
3 過ヨウ素酸
過ヨウ素酸はPAS反応やPAM染色の酸化剤、免疫染色時の内因性POD除去試薬としても使われる。
Grocott染色の酸化剤としてクロム酸が一般的。
4 アンモニア銀
アンモニア銀は以下の4つの染色で用いられる。
- 渡辺の鍍銀染色
- マッソン・フォンタナ染色
- カハール染色
- ビルショウスキー染色
Grocott染色で使う銀液はメセナミン銀液。
5 メセナミン銀
Grocott染色やPAM染色で用いられる銀液。
酸化で生じた反応性基により銀が還元・沈着し、真菌などが黒色に描出される。
メセナミン銀液は硝酸銀などを混合して調製した反応液で、硝酸銀を含む点には注意。
71回 午前 問題55
発がん性が指摘されているのはどれか。
- キシレン
- メタノール
- パラフィン
- ホルムアルデヒド
- エチレンジアミン四酢酸<EDTA>
- 答えはここをクリック
【この問題のポイント】
【各選択肢の解説】
71回 午前 問題56
疾病の内因となるのはどれか。
- 遺伝
- 温度
- 感染
- 紫外線
- 放射線
- 答えはここをクリック
【この問題のポイント】
【各選択肢の解説】
71回 午前 問題57
アミロイドの染色法はどれか。
- Congo red 染色
- Alcian blue 染色
- Ziehl-Neelsen 染色
- Sudan black B 染色
- Masson trichrome 染色
- 答えはここをクリック
【この問題のポイント】
【各選択肢の解説】
71回 午前 問題58
病理解剖時に摘出された臓器のホルマリン固定後の肉眼写真(別冊No.12)を別に示す。
臓器はどれか。
- 肺
- 肝臟
- 腎臟
- 膵臟
- 脾臓

71回 午後の問題
71回 午後 問題45
薄切で切片に傷ができる場合の対処法はどれか。
- 逃げ角を変える。
- 刃を取り替える。
- 薄切する厚さの設定を変える。
- パラフィンブロックを冷却する。
- ミクロトーム刀の滑走速度を速くする。
- 答えはここをクリック
【この問題のポイント】
【各選択肢の解説】
71回 午後 問題46
膵臓の特殊染色(別冊No.8)を別に示す。
染色法はどれか。
- PAM染色
- Bodian 染色
- Grimelius 染色
- Warthin-Starry 染色
- Masson-Fontana 染色

- 答えはここをクリック
【この問題のポイント】
【各選択肢の解説】
71回 午後 問題47
子宮頸部細胞診の Papanicolaou 染色標本(別冊No.9)を別に示す。
考えられる感染はどれか。
- カンジダ
- クラミジア
- トリコモナス
- ヘルペスウイルス
- ヒトパピローマウイルス

- 答えはここをクリック
【この問題のポイント】
【各選択肢の解説】
71回 午後 問題48
細胞内小器官で正しいのはどれか。
- 核は蛋白合成の場である。
- 細胞膜は脂質単層の構造を持つ。
- リボソームは蛋白分解の場である。
- ゴルジ装置には電子伝達系が存在する。
- ミトコンドリアは独自の遺伝情報を有する。
- 答えはここをクリック
【この問題のポイント】
【各選択肢の解説】
71回 午後 問題49
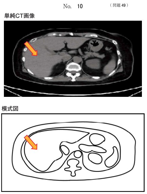
上腹部の単純CT画像(第12の高さの横断面)とその模式図(別冊No.10)を別に示す。
矢印で示す臓器はどれか。
- 胃
- 肝臟
- 心臟
- 脾臓
- 大動脈

- 答えはここをクリック
【この問題のポイント】
【各選択肢の解説】
71回 午後 問題50
創傷治癒で正しいのはどれか。
- ケロイドは柔らかい組織である。
- 肉芽組織には毛細血管が乏しい。
- 創傷面が小さいほど瘢痕が形成されやすい。
- 二次的治癒では肉芽組織に依存して創傷が修復される。
- 一次的治癒は異物や細菌で汚染された創傷の治癒である。
- 答えはここをクリック
【この問題のポイント】
【各選択肢の解説】
71回 午後 問題51
病理解剖で誤っているのはどれか。
- 遺体に畏敬の念を持つ。
- 臨床経過の把握は不要である。
- 感染の危険性があることを認識する。
- 準備が整うまで遺体は冷蔵庫に保存する。
- 死後変化を少なくするため速やかに実施する。
- 答えはここをクリック
【この問題のポイント】
【各選択肢の解説】
71回 午後 問題52
術中迅速組織標本作製で最初に行うのはどれか。
- 固定
- 脱灰
- 脱脂
- 脱水
- 切り出し
- 答えはここをクリック
【この問題のポイント】
【各選択肢の解説】
71回 午後 問題53
免疫組織化学染色の検査対象となるのはどれか。
- DNA
- RNA
- 重金属
- 蛋白質
- 酵素活性
- 答えはここをクリック
【この問題のポイント】
【各選択肢の解説】
71回 午後 問題54
細胞学的検査法の特徴で誤っているのはどれか。
- 患者への侵襲が少ない。
- 検体採取が容易である。
- 液状検体の検査ができる。
- 腫瘍の病期を確定できる。
- 腫瘍の組織型を類推できる。
- 答えはここをクリック
【この問題のポイント】
【各選択肢の解説】
71回 午後 問題55
H-E 染色標本(別冊No.11)を別に示す。
この臓器はどれか。
- 気管
- 食道
- 大腸
- 皮膚
- 膀胱

- 答えはここをクリック
【この問題のポイント】
【各選択肢の解説】
71回 午後 問題56
アスベストばく露と関連する腫瘍はどれか。
- 胃癌
- 肝癌
- 乳癌
- 悪性黒色腫
- 悪性中皮腫
- 答えはここをクリック
【この問題のポイント】
【各選択肢の解説】
71回 午後 問題57
アミロイドβ蛋白の沈着を特徴とする疾患はどれか。
- Alzheimer 病
- Creutzfeldt-Jakob 病
- Guillain-Barré 症候群
- 進行性多巢性白質脑症
- 筋萎縮性側索硬化症〈ALS〉
- 答えはここをクリック
【この問題のポイント】
【各選択肢の解説】
71回 午後 問題58
走査型電子顕微鏡標本の作製工程に含まれないのはどれか。
- 超薄切
- 金属イオン蒸着
- タンニン酸処理
- オスミウム酸固定
- グルタルアルデヒド固定
- 答えはここをクリック